Extrakorporale Stoßwellentherapie (ESWT): hochenergetisch fokussiert

Die extrakorporale Stoßwellentherapie (ESWT) ist keine neue Methode zur Behandlung von Schmerzen. Sie basiert auf langjährigen Erfahrungen und Studien. Es handelt sich bei der ESWT physikalisch gesehen um kurze hochenergetische Schallwellen, die außerhalb des Körpers erzeugt werden. Wissenschaftlich erwiesen ist, dass mit Hilfe dieses Heilverfahrens, bestimmte krankhafte Veränderungen an verschiedenen Stellen des muskuloskelettalen Systems, wie z.B. den Schultern, den Ellenbogen, den Hüften und den Füßen, gezielt und schonend behandelt werden können.
Vor allem für Patienten, die aufgrund ihrer Grunderkrankung nicht mehr operiert werden können, da z.B. eine Narkose ein zu hohes Risiko bedeutet, ist die ESWT die Methode der Wahl um Ihren Schmerz zu behandeln. Sie ist risiko- und nebenwirkungsfrei aber dennoch hochwirksam.
Aber auch Patienten mit chronischen Schmerzen, denen eventuell nur noch eine Operation helfen kann, profitieren von der Stoßwelle. Je nach Studie und Studiendesign konnten hier 50-85% gute und sehr gute Ergebnisse erzielt werden.

 

neckarorthopaedie Kontak und Termine

Mit Stoßwellen effizient und nebenwirkungsarm zur Schmerzfreiheit

Die Behandlung mit extrakorporalen Stoßwellen ist sehr effizient und nebenwirkungsarm. Dies liegt daran, dass man dabei durch die Schallwellen einen mechanischen Stress auf das entzündete Gewebe ausübt - dabei handelt es sich jedoch um einen rein mechanischen Stress. Röntgenstrahlen oder andere das Gewebe potentiell schädigende Verfahren kommen nicht zum Einsatz. Daher gibt es nahezu keine Kontraindikationen für die Behandlung mit der ESWT. Zudem ist die Behandlung relativ kurz mit einer Behandlungsdauer von 5-10 Minuten und muss in der Regel nur 1-2 Mal pro Woche durchgeführt werden

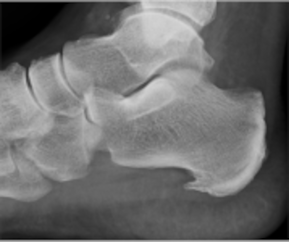
Stoßwellentherapie Fersensporn

Die Stoßwellenbehandlung: Wie hoch sind die Kosten?

Die Behandlung gibt es aufgrund ihrer wissenschaftlich nachgewiesenen Wirksamkeit mittlerweile auch als Kassenleistung. Die Krankenkassen bezahlen bei therapieresistenten Fersenschmerzen (Plantarfasziitis) und einer 6monatigen erfolglosen Behandlung, zum Beispiel mit individuellen Einlagen, die ESWT bis zu 3 Mal. Das heißt für Sie, dass in diesem Fall keinerlei Kosten auf Sie zukommen.
Private Krankenversicherungen oder die Beihilfe bezahlen die Stoßwellentherapie nach vorheriger Kostenübernahmeerklärung. Fragen Sie einfach bei uns nach. Wir beraten Sie gerne und stellen Ihnen auch ein entsprechendes Attest mit dazugehörigem Kostenplan zur Vorlage bei Ihrem Versicherungsträger aus, so dass auch hier keine Kosten auf Sie zukommen.

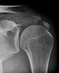
Kalkschulter   Fersensporn

Haben Sie Fragen zur Anwendung, zu möglichen Nebenwirkungen oder zur Inanspruchnahme von IGEL-Leistungen? Möchten Sie wissen, bei welchen Beschwerden wir die Behandlung empfehlen oder möchten Sie einen Termin bei uns vereinbaren? Nehmen Sie Kontakt zu unserer Praxis für Orthopädie und Unfallchirurgie auf: Telefon 07071 - 610 708

 

Bei der extrakorporalen Stoßwellentherapie (ESWT) handelt es sich um eine Therapieform mit reinen Schallwellen. Es handelt sich nicht um einen Röntgen- oder eine Magnetfeldbehandlung. Dementsprechend niedrig ist die Rate der Komplikationen und/oder der Kontraindikationen. Bei der ESWT werden im Schallkopf durch das Piezo-Verfahren (das Wort „Piezo“ ist vom griechischen Wort für Druck abgeleitet) Schallwellen durch Quarzkristalle erzeugt. Diese werden im Schallkopf reflektiert und in einem Punkt fokussiert. Dieser Punkt liegt außerhalb des Schallkopfes und kann mit verschiedenen Abstandhaltern in 0,5-3,5 cm Entfernung vom Schallkopf fokussiert werden. Dadurch ist stets die optimale Positionierung des Fokuspunktes bei der Behandlung garantiert.
Treffen diese Schallwellen nun auf entzündetes Gewebe, so wird durch den mechanischen Reiz der
Schallwellen ein Reiz im Gewebe ausgelöst. Diese Antwort des Körpers auf die Schallwellen
beinhaltet viele komplexe biochemische Stoffwechselwege. Von einer einfachen Aktivierung der
Durchblutung, über eine Stimulation des Immunsystems, bis zu einer erhöhten Rate der
Zellgeneration.


Nach dem derzeitigen Stand der Wissenschaft führt der mechanische Stress mittels extrakorporaler Stoßwellen zur Aktivierung des Selbstschutzmechanismus des Organismus und somit zu einer Regeneration der pathologischen Prozesse, seien sie nun chronisch oder akut.
Die Stoßwellen verteilen sich im Körper am besten in liquidhaltigen Bereichen. Erst beim Kontakt der Wellen mit einem festen Körper (z.B. Verkalkung an der Schulter) geben diese Schallwellen ihre hohe Energie an diesen weiter und können dort zu seiner Auflösung beitragen. Der Körper kann den aufgelösten Kalk (man muss sich den Kalk wie nasse und weiche Kreide vorstellen) dann resorbieren und Ihre Schulterschmerzen und die eingeschränkte Beweglichkeit lassen schon nach der 1-2. Behandlung deutlich nach.
Die Behandlung dauert 5-10 Minuten und wird immer individuell auf Ihr Krankheitsbild optimal abgestimmt. Es werden ca. 1.500 bis 2.000 Impulse verabreicht. Die Frequenz liegt bei circa 8 Wellen pro Sekunde. Je nach Tiefe der entzündeten oder der schmerzhaften Stelle am Körper wird durch das individuelle Anpassen des Kopfes des ESWT-Gerätes die Eindringtiefe optimal eingestellt, um den größten Nutzen der Behandlung für den Patienten zu erzielen. Im Durchschnitt liegt die Anzahl der notwendigen Behandlungen bei 3x, bei einer Frequenz von 1-2 Behandlungen pro Woche. (www.digest-ev.de)

Stoßwellentherapie Ellenbogen und Tennisarm

Wirkungsgebiet - Wo wirkt die Stoßwelle?

Die extrakorporale Stoßwellentherapie, hochenergetische und/oder fokussiert, kann für eine große Bandbreite an orthopädischen Erkrankungen erfolgreich und wissenschaftlich gestützt eingesetzt werden. Es handelt sich dabei in erster Linie um Entzündungen der Sehnenansätze, egal ob diese an Schultern, Knie- oder Hüftgelenken oder anderen Körperteilen liegen. Auch Fasziensyndrome und Verspannungen im Bereich der Wirbelsäule können erfolgreich damit behandelt werden.

 

  • Kalkablagerungen in der Schulter, die sog. „Kalkschulter“ (Tendinosis calcarea)
  • chronische Schmerzen/Entzündungen der Sehnen und Sehnenansätze am Schultergelenk (Tendinosen der Supraspinatussehne/Impingement)
  • Tennisellenbogen (Epicondylitis radialis), der sogenannte „Tennisarm“
  • Golfer-Ellenbogen (Epicondylitis ulnaris)
  • Fersensporn (Plantarasziitis) und Fersenschmerz
  • Achillissehnenentzündung (Achillodynie)
  • Schleimbeutelentzündung bzw. Sehnenansatzentzündung am Hüftknochen (Trochantertendinose/Tractus-Reizung)
  • Belastungsschmerz an der Schienbeinkante (Shin Splint Syndrom)
  • Morbus Osgood Schlatter
  • Knochenmarködeme unterschiedlicher Genese
  • Patellaspitzen-Syndrom (Jumpers Knee)

Orthopädie Termine
Akute und chronische Schmerzen bedeuten für alle Patienten eine ausgesprochen hohe Einbuße ihrer Lebensqualität. Beliebte sportliche Aktivitäten wie z.B. Joggen, Schwimmen, Tennis oder Fußball können nur noch eingeschränkt oder gar nicht mehr ausgeübt werden. Oft sind ein Fersensporn mit einer entzündeten Plantarsehne (Plantarfasziitis), eine Entzündung der Achillessehne (Achillodynie), ein sogenannter Tennisellenbogen/Golferellenbogen, oder ein Jumpers Knee daran schuld. Dies betrifft Patienten jeder Altersklasse. Vor allem auch die schmerzhaften Bewegungseinschränkungen an der Schulter, wie zum Beispiel die Kalkschulter, können hervorragend und ohne einen operativen Eingriff von außen (extrakorporal) behandelt werden.

 

Haben Sie Fragen zur Anwendung, zu möglichen Nebenwirkungen oder zur Inanspruchnahme von IGEL Leistungen? Möchten Sie wissen, bei welchen Beschwerden ein Orthopäde die Behandlung empfiehlt oder möchten Sie einen Termin bei einem Arzt oder Therapeuten vereinbaren? Nehmen Sie Kontakt zu unserer Praxis für Orthopädie auf: Telefon 07071 - 610 708